“Ma è proprio sicura che non può mettere gli impianti se ha poco osso?”

L’ho chiesto mesi fa ad una giovane paziente che, con aria di rassegnazione, mi mostrava la sua nuova e fiammante protesi mobile.
Infatti, benché le mancassero solo 2 denti e avesse solo 42 anni, era ormai rassegnata a dover convivere con quell’ingombro in bocca, e, come le era stato riferito, a prendere dopo ogni pasto uno spazzolino e po’ di sapone per i piatti per lavarlo e lucidarlo.
Immaginate una vita così?
Per fortuna, negli ultimi anni l’evoluzione dei materiali e delle tecniche odontoiatriche ha permesso di raggiungere grandi risultati: tanti pazienti che tempo fa avrebbero dovuto accontentarsi di soluzioni poco confortevoli oggi possono avere denti fissi tali e quali ai denti naturali, non solo esteticamente.
Tornando al caso della giovane donna, forse chi le aveva sconsigliato gli impianti non aveva le competenze per affrontare anche i casi più difficili ed avrà preferito affidarsi a soluzioni più semplici per lui, ma certamente più scomode per lei.
Ma è mai possibile che una donna così giovane, senza problemi di salute particolari né problemi economici, si debba rassegnare ad avere denti mobili con la paura di non poter addentare con tranquillità tutti i cibi? O col rischio che i denti svolazzino mentre parla? O di non poter sorridere senza coprirsi la bocca con la mano?
Le soluzioni per ovviare alla mancanza di osso sono tante, tra le quali:
- La tecnica all on 4 (nel caso manchino tutti i denti) che sfrutta le aree anteriori dell’osso mascellare e della mandibola della bocca, dove quasi sempre c’è osso, e con solo 4 impianti permette di ripristinare un’arcata completa.
- Gli impianti corti, ovvero con viti più corte di quelli convenzionali ma con le stesse percentuali di successo.
E se proprio l’osso non c’è?
Possiamo sempre ricostruirlo con la Rigenerazione Ossea Guidata (GBR), con un intervento che si effettua in un paio di ore utilizzando dei biomateriali protetti da membrane.
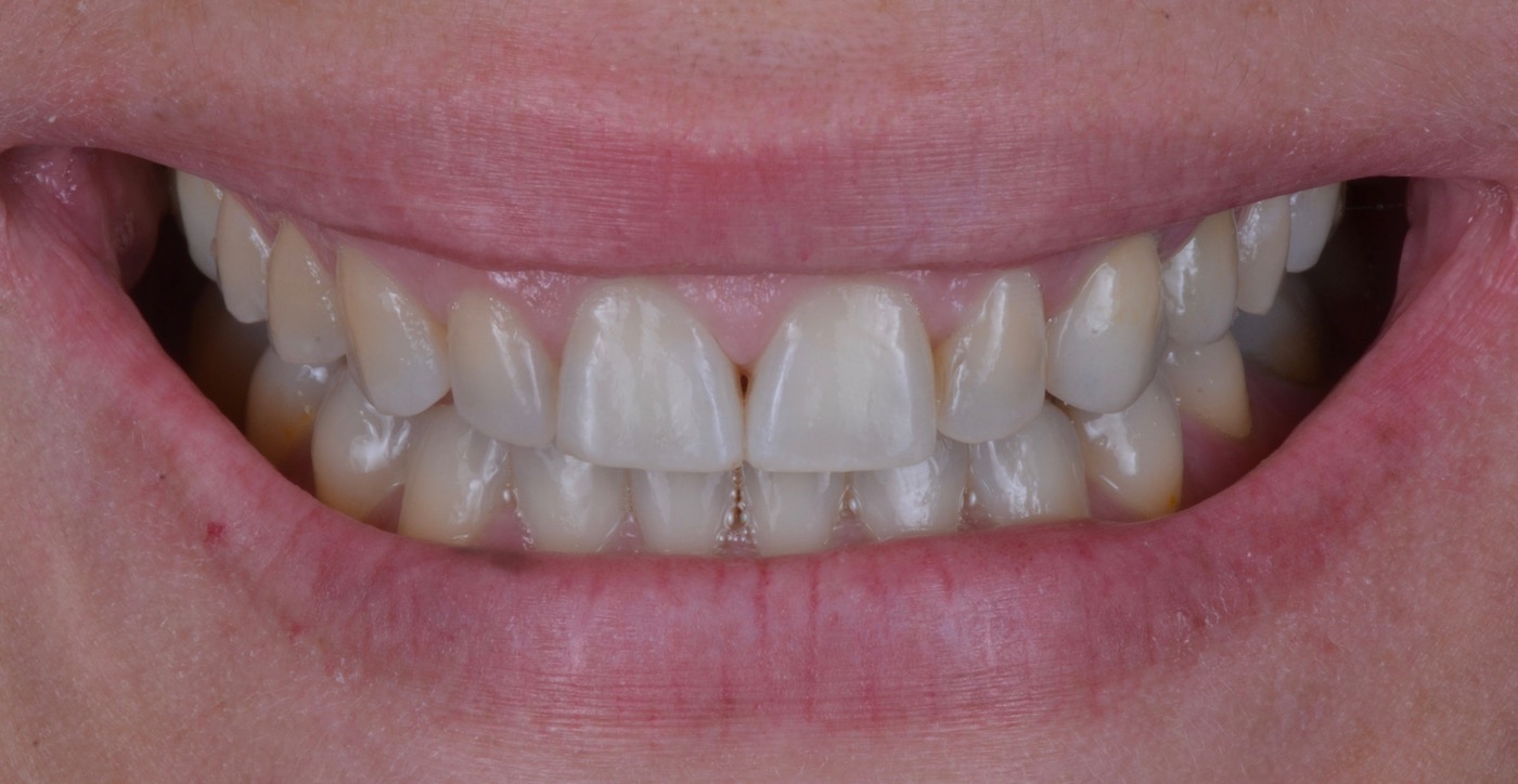
Vuoi sapere come è finita per la nostra giovane paziente?
Beh ora lei, con un semplice intervento di ricostruzione dell’osso, ha i denti fissi, mangia con tranquillità e sorride senza nascondersi.
CHIEDI UN ALTRO PARERE AD UN PROFESSIONISTA ESPERTO IN IMPLANTOLOGIA AVANZATA CHE LAVORI IN UNA STRUTTURA ADEGUATAMENTE ORGANIZZATA!